Acute promyelocytic leukemia with t(15;17)(q22;q12)
Acute promyelocytic leukemia with t(15;17)(q22;q12)
Updated: 05/30/2019
© Jun Wang, MD, PhD
General features
- Original M3 in FAB classification
Clinical presentations
- Pancytopenia
- Disseminated intravascular coagulation (DIC) and hemorrhage before or during induction chemotherapy
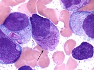
Key morphological features
- Abnormal promyelocytes with heavy granulation and Auer rods
- Faggot cells: Cells containing bundles of Auer rods
Genetic abnormalities
- t(15;17)(q22;q12): PML(15) and retinoic acid receptor-alpha (RAR-alpha, RARa, 17)
Diagnosis
Treatment
- Pancytopenia with coagulopathy
- Cytogenetic studies
- Molecular studies of PML-RARA fusion gene
Treatment
- All trans retinoic acid (ATRA)
Back to myeloid neoplasms
Back to contents
Comments
Post a Comment