NUT carcinoma
NUT carcinoma
Updated: 03/05/2025
© Jun Wang, MD, PhD
General features
- Formerly known as NUT midline carcinoma
- Aggressive type of poorly differentiated squamous cell carcinoma
- Named after molecular abnormality involving NUT (nuclear protein in testis) gene
- Commonly midline location, including head and neck, mediastinum
- Metastasis common
Clinical presentations
- More common in young people (median age 16-22)
- Mass related symptoms
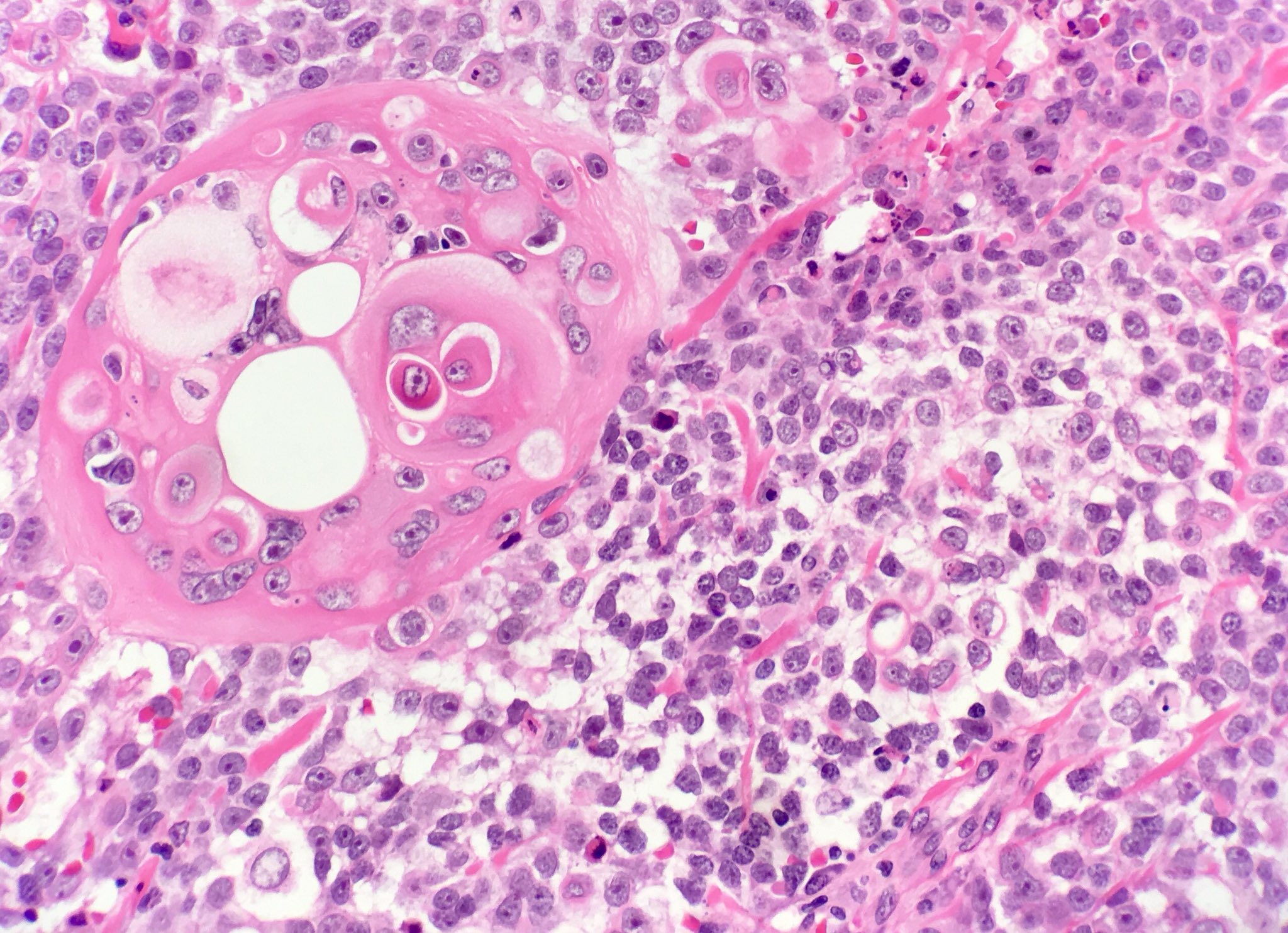
Key morphological features
- Infiltrating trabeculae of undifferentiatedcells
- Sudden squamous differentiation
- Desmoplastic stroma
- May have foci of squamous differentiation
Marker
- Nuclear expression of NUT
Genetic abnormality
- NUTM1 at 15q14
Diagnosis
- Morphology
- Molecular tests (fluorescence in situ hybridization) for translocations involving NUT
Treatment
- No effective treatment
Back to contents
Comments
Post a Comment